İletişime Geç
böbrek kanseri
  • Böbrek Kanseri
    • Böbrek Kanseri Nedir?
    • Böbrek Kanserinin Evreleri
    • Böbrek Kanseri Epidemiyolojisi
  • Tanı ve Test Yöntemleri
    • Böbrek Kanseri Tanı ve Test Yöntemleri
    • Erken Tanıda BT, MR ve Ultrasonun Rolü
    • Mayo Klinik SSIGN Skoru
    • IMDC Risk Modeli
    • Bosniak Sınıflaması
  • Tedavi Yöntemleri
  • Kanserle Yaşam
böbrek kanseri
  • Böbrek Kanseri
    • Böbrek Kanseri Nedir?
    • Böbrek Kanserinin Evreleri
    • Böbrek Kanseri Epidemiyolojisi
  • Tanı ve Test Yöntemleri
    • Böbrek Kanseri Tanı ve Test Yöntemleri
    • Erken Tanıda BT, MR ve Ultrasonun Rolü
    • Mayo Klinik SSIGN Skoru
    • IMDC Risk Modeli
    • Bosniak Sınıflaması
  • Tedavi Yöntemleri
  • Kanserle Yaşam
  • Böbrek Kanseri
    • Böbrek Kanseri Nedir?
    • Böbrek Kanserinin Evreleri
    • Böbrek Kanseri Epidemiyolojisi
  • Tanı ve Test Yöntemleri
    • Böbrek Kanseri Tanı ve Test Yöntemleri
    • Erken Tanıda BT, MR ve Ultrasonun Rolü
    • Mayo Klinik SSIGN Skoru
    • IMDC Risk Modeli
    • Bosniak Sınıflaması
  • Tedavi Yöntemleri
  • Kanserle Yaşam
böbrek kanseri
böbrek kanseri
  • Böbrek Kanseri
    • Böbrek Kanseri Nedir?
    • Böbrek Kanserinin Evreleri
    • Böbrek Kanseri Epidemiyolojisi
  • Tanı ve Test Yöntemleri
    • Böbrek Kanseri Tanı ve Test Yöntemleri
    • Erken Tanıda BT, MR ve Ultrasonun Rolü
    • Mayo Klinik SSIGN Skoru
    • IMDC Risk Modeli
    • Bosniak Sınıflaması
  • Tedavi Yöntemleri
  • Kanserle Yaşam
Şubat 18, 2026

Böbrek Kanserinde FDG PET BT Gerçekten Yetersiz mi

Böbrek kanserinde FDG PET/BT uzun yıllar boyunca “ikincil” veya “suboptimal” bir görüntüleme yöntemi olarak değerlendirilmiştir. Bunun temel nedeni, 18F-Florodeoksiglukoz (FDG) adlı radyoaktif izleyicinin idrar yoluyla atılması ve böbrek parankiminde fizyolojik birikim oluşturarak tümörleri maskelemesidir. Ancak güncel literatür ve gelişmiş görüntüleme protokolleri, FDG PET/BT’nin özellikle agresif alt tiplerde, metastaz değerlendirmesinde ve tedavi yanıtının erken izlenmesinde önemli bir tamamlayıcı rol üstlenebileceğini göstermektedir.

Bugün artık soru şudur: FDG PET/BT gerçekten yetersiz mi, yoksa doğru hasta grubunda doğru endikasyonla kullanıldığında güçlü bir araç mı?

RCC Alt Tipleri ve Metabolik Davranış

Böbrek hücreli karsinomlar (RCC) homojen bir hastalık değildir. Tümörün histopatolojik alt tipi ve derecesi, FDG tutulumu ile doğrudan ilişkilidir. Bu nedenle metabolik görüntüleme, tümör biyolojisine dair ek bilgiler sunabilir.

Berrak Hücreli RCC (ccRCC)

En sık görülen alt tip olan berrak hücreli RCC’de FDG tutulumu tümör derecesine göre değişiklik gösterir. Düşük dereceli (Grade 1–2) vakalarda glukoz-6-fosfataz aktivitesinin korunması nedeniyle FDG tutulumu sınırlı olabilir. Buna karşılık yüksek dereceli (Grade 3–4) tümörlerde SUV değerleri belirgin şekilde yükselir.

SUVmax 4.15 üzerindeki değerler, yüksek dereceli ccRCC için güçlü bir metabolik öngörü kriteri olarak bildirilmektedir.

Papiller ve Kromofob RCC

Papiller tip RCC’de FDG tutulumu genellikle berrak hücreli tipe kıyasla daha düşüktür. Kromofob RCC ise düşük mikrovasküler yoğunluk nedeniyle genellikle en düşük FDG afinitesine sahip alt tiptir.

Bu farklılıklar, FDG PET/BT’nin her böbrek tümöründe aynı performansı göstermemesinin temel nedenlerinden biridir.

Agresif Varyantlar ve Sarcomatoid Diferansiyasyon

Toplayıcı kanal karsinomu ve sarcomatoid diferansiyasyon gösteren tümörlerde ise durum farklıdır. Bu alt tipler yüksek glikolitik aktivite sergiler ve yoğun FDG tutulumu gösterir. Artmış metabolik aktivite, genellikle daha kötü prognozla ilişkilidir.

Bu noktada FDG PET/BT yalnızca görüntüleme değil, aynı zamanda biyolojik agresifliğin dolaylı göstergesi haline gelir.

Bunu da Okuyun: Böbrek Kanserinde Güncel Epidemiyolojik Bulgular ve Küresel Dağılım

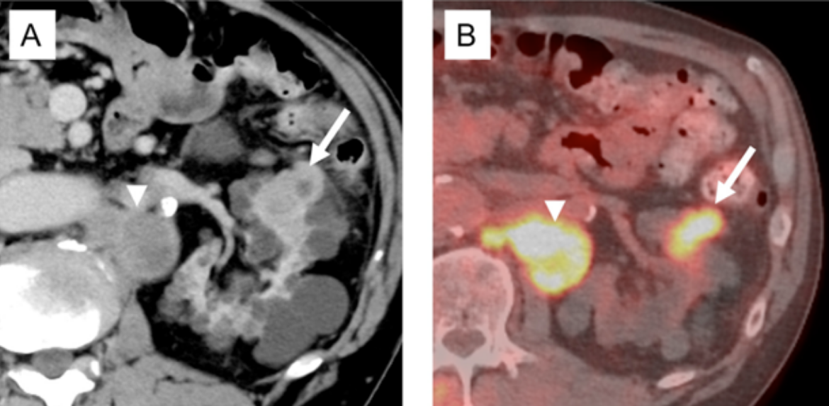
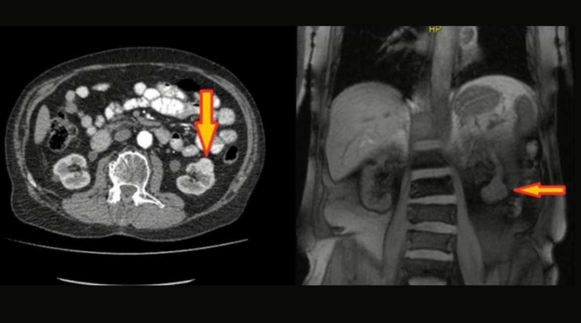
Fumarat hidrataz eksikliği tip renal hücreli karsinom tanılı 64 yaşında erkek hasta.

Fumarat hidrataz eksikliği tip renal hücreli karsinom tanılı 64 yaşında erkek hasta.

Diyaliz Hastalarında FDG PET Avantajı

İlginç şekilde, son evre böbrek yetmezliği olan veya diyalize giren hastalarda FDG PET/BT’nin tanısal değeri artabilir. İdrar çıkışının olmaması nedeniyle arka plan aktivitesi azalır ve böbrek içindeki lezyonların kontrastı artar.

Bu durum, normal böbrek fonksiyonuna sahip hastalarda yaşanan “maskeleme etkisini” ortadan kaldırarak metabolik görüntülemeyi daha net hale getirebilir. Diyaliz hastalarında saptanan renal kitlelerin değerlendirilmesinde bu durum klinik olarak anlamlı olabilir.

Evreleme ve Nüks Takibinde Klinik Değer

FDG PET/BT’nin lenf nodu evrelemesindeki duyarlılığı sınırlı olmakla birlikte (%47–82), uzak metastazların saptanmasında önemli avantajlar sunabilir. Özellikle osteolitik kemik metastazlarında konvansiyonel BT ve kemik sintigrafisine kıyasla daha yüksek duyarlılık gösterebilmektedir.

Postoperatif dönemde, özellikle yüksek riskli hastalarda ve radyolojik olarak belirsiz bulguların netleştirilmesinde FDG PET/BT’nin klinik yönetimi yaklaşık %43 oranında değiştirebildiği bildirilmiştir. Bu oran, yöntemin seçilmiş hasta gruplarında karar süreçlerine anlamlı katkı sağlayabileceğini göstermektedir.

Bunu da Okuyun: Böbrek Kanserinde Nüks Zamanlaması

Tedavi Yanıtının Erken İzlenmesi

Tirozin kinaz inhibitörleri (TKI) ve immün kontrol noktası inhibitörleri (ICI) ile yapılan tedavilerde (immünoterapi) tümör boyutundaki küçülme her zaman erken dönemde gözlenmez. RECIST kriterleri boyuta dayalı değerlendirme yaparken, metabolik değişimler çok daha erken ortaya çıkabilir.

Tedavi başlangıcından bir ay sonra SUV değerinde %20’den fazla azalma görülmesi, uzamış progresyonsuz sağkalım ile ilişkilendirilmektedir.

Bu noktada PERCIST kriterleri, metabolik yanıtı ölçerek hedefe yönelik tedavilerin etkinliğini değerlendirmede önemli bir tamamlayıcı araç sunar.

Yeni Nesil Radyofarmasötikler

FDG’nin sınırlılıklarını aşmak amacıyla geliştirilen yeni radyofarmasötikler, böbrek kanseri görüntülemesinde yeni bir dönemin habercisidir.

  • 68Ga-PSMA: FDG-negatif metastazların tespitinde umut vericidir.
  • 11C-Asetat: Lipid sentezini yansıtarak özellikle yağdan fakir anjiyomiyolipomların RCC’den ayırt edilmesinde yardımcı olabilir.
  • 18F-FMISO: Tümör hipoksisini görüntüleyerek anti-anjiyojenik tedavi yanıtını öngörebilir.

Bu ajanlar henüz rutin kullanımda olmasa da, moleküler görüntülemenin böbrek kanseri yönetimindeki rolünün genişlediğini göstermektedir.

Genel Değerlendirme

FDG PET/BT, böbrek kanserinin birincil tanısında standart bir yöntem değildir. Ancak agresif tümörlerin metabolik karakterizasyonunda, metastatik hastalık yönetiminde ve tedavi yanıtının erken değerlendirilmesinde önemli bir tamamlayıcı araçtır.

Doğru hasta seçimi ve doğru endikasyon ile kullanıldığında, FDG PET/BT böbrek kanseri yönetiminde değerli bilgiler sunabilir. Görüntüleme yöntemlerini tümör biyolojisi ile birlikte değerlendirmek, modern ve kişiselleştirilmiş onkoloji yaklaşımının temelini oluşturmaktadır.

Böbrek Kanserinde 5 Yıllık Dönüm Noktası: Adjuvan Tedavide Altın StandartBöbrek Kanserinde 5 Yıllık Dönüm Noktası: Adjuvan Tedavide Altın StandartŞubat 4, 2026
Böbrek Kanserinde Damar Trombüslü Tümörlerde Ameliyat Öncesi RadyoterapiMart 9, 2026Böbrek Kanserinde Damar Trombüslü Tümörlerde Ameliyat Öncesi Radyoterapi

Diğer İçerikler

Böbrek KanseriTanı ve Test Yöntemleri
Mart 25, 2025

Mayo Klinik SSIGN Skoru: Böbrek Kanserinde Risk Değerlendirmesi

Devamını Oku
Böbrek KanseriTanı ve Test Yöntemleri
Mayıs 15, 2025

Böbrek Kistleri ve Bosniak Sınıflaması: Nedir ve Nasıl Değerlendirilir?

Devamını Oku
Kategoriler
  • Böbrek Kanseri 28
  • Kanserle Yaşam 10
  • Tanı ve Test Yöntemleri 10
  • Tedavi Yöntemleri 11
Son İçerikler
  • Böbrek Kanseri Patoloji Raporu ve Risk Sınıflaması Nasıl Yorumlanır?
    Böbrek Kanseri Patoloji Raporu ve Risk Sınıflaması Nasıl Yorumlanır?
    Mayıs 18, 2026
  • Böbrek Sağlığını Korumak İçin En Etkili Adımlar
    Böbrek Sağlığını Korumak İçin En Etkili Adımlar
    Mayıs 15, 2026
  • Kanser Tedavisi Sırasında Ağız ve Diş Sağlığı Rehberi
    Kanser Tedavisi Sırasında Ağız ve Diş Sağlığı Rehberi
    Nisan 14, 2026

Randevu İçin Lütfen Arayınız!

0(530) 100 90 85

Hemen Ara
İletişim Bilgilerimiz

[email protected]

+90 (530) 100 9085

Kategoriler
  • Böbrek Kanseri
  • Tanı ve Test Yöntemleri
  • Tedavi Yöntemleri
  • Kanserle Yaşam
Linkler
  • Anasayfa
  • Hakkımızda
  • Blog
  • İletişim
Güncel İçerikler
  • Bosniak Sınıflaması
  • IMDC Risk Modeli
  • Mayo Klinik SSIGN Skoru
  • GAGome Testi

Böbrek Kanseri hakkında faydalı içerikler ve güncel bilgiler

Tüm Hakları Saklıdır © 2025 Web Tasarım

#medify_button_6a14948972d53 { color: rgba(255,255,255,1); }#medify_button_6a14948972d53:hover { color: rgba(255,255,255,1); }#medify_button_6a14948972d53 { border-color: rgba(255,158,33,1); background-color: rgba(255,158,33,1); }#medify_button_6a14948972d53:hover { border-color: rgba(46,166,247,1); background-color: rgba(46,166,247,1); }#medify_button_6a14948972d53 { border-radius: 0px; }